一名医生朋友说,猎奇的故事总是会发生在肛肠科和急诊。
微博中就有一个#菊花超市#的话题,里面记录了几百种后门受伤的方式。
面对医生的询问,患者往往支支吾吾、故作镇定、推卸责任:
别问,问就是“不小心”坐了下去。
别怀疑,是瓶子先动的手。
为什么总有男性喜欢往下体塞异物?
究竟是出于对人体奥秘的探索,还是对激情生活的渴求,又或是丰富多彩的经历所致?
百思不得其解,橙子唯有带大家“一探究竟”。
01、直肠异物
据统计,在急诊室,男性“失物招领”的情况是女性的40倍,大部分都是在直肠中发现的,并且种类繁多:
酒瓶、刀、叉子、喷雾罐、哑铃、灯泡、罗非鱼……只有你想不到的,没有“直男”们不敢塞的,比如说,哑铃。

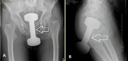
案例一:浙江一小伙在家休息时,将一根20cm长、5cm粗的玻璃棒塞进自己的肛门,无法用手取出后感到肛门胀痛,最后去医院取出。

案例二:众所周知,灯泡放在人体内的两个地方,是绝对无法自己取出的。一个是嘴巴,另一个是菊花。这位男子就把灯泡塞进了肛门。
案例三:广东一名男子因腹痛不止入院,医生追问病史,男子才说自己“不小心坐在鱼上”;由于罗非鱼大且有刺,医生最终开腹取出。取出时鱼已经腐烂,现场护士都忍不住呕吐……
(没有图,恐引起大家生理不适)
说到这儿,肯定有不少男生会想到他们塞入的原因——为了追求“前高”。除了生理原因,还有一部分是“性欲倒错”的心理原因在作祟。
玩“前高”并没有错,追求性愉悦也是男性的权利。但是老铁们,注意点卫生,用一些菊部专用的的性玩具不好嘛?非要整一些放进去就拿不出来的奇怪物件……
尴尬那都是小事了,主要是很危险啊。
我们的直肠其实并不直,有多个弯曲的地方;而且肛门较小,异物一旦进去就很难取出来。严重者可能会导致肠梗阻、大肠坏死、肠出血、肠穿孔,甚至危及生命。
02、尿道异物
除了菊花是“失物常驻场所”,在男性对自己X器官的孜孜探索下,连狭窄的尿道也难逃一劫。最容易把异物塞进尿道的,是10~14岁的青少年。
“作案”工具:螺丝钉、电线、扳手、磁力珠、黄鳝……
案例一:14岁小男孩将40颗磁力珠放入自己的尿道口,多日过去腹痛求医,珠子已经在体内连成一串。家长:孩子不懂,是出于贪玩。
案例二: 医生从男子的下体中取出一支穿过尿道、楔入膀胱后壁、粘附一大坨结石的会计笔。男子“欣慰”发现,该笔还能正常使用。
案例三:11岁小男孩好奇心太重,将一条35厘米长的项链全部塞入尿道口,医生取出困难重重。正常人想把35cm的项链从食道吞下都很困难,弟弟,你是怎么做到的?
案例四:12岁男孩尿道藏8公分的绣花针,取出时针已锈迹斑斑。

看完之后,你可能会大受震撼:我不信,尿道怎么可能塞的进去这些东西?
女性尿道只有5cm短,而男性尿道却长达18cm。
虽然有一定容量,但绝对不建议你往里面塞异物。
不仅容易损伤尿道,导致尿道刺痛、发炎;还会造成尿路感染、尿道狭窄。等你排尿一滴也尿不出来的时候,就知道什么叫痛不欲生了。
如果塞入颗粒物或者超过18cm的物品,还有可能会进入膀胱,造成膀胱发炎、泌尿系统感染等,严重的会引起肾功能衰竭,危及生命。
03、音茎环状物
前有钟爱“菊”的直男,后有钟爱“套马”的汉子。
案例一:一拾荒男子因长期无性生活,将矿泉水瓶口套在丁丁根部,一阵不可描述后发现无法取下。10小时后去医院就诊,丁丁已经充血水肿成一条长茄子。
案例二:厦门一名男生往丁丁上套情侣戒,美其名曰“延时环”;医生检查时发现他的蘑菇头已经肿到了鸡蛋那么大,颜色几乎呈酱紫。
咱就是说,除了能证明你细,还能证明啥?
拜托,那可是戒指诶。咱们买个专业安全的延时环不好嘛?
往丁丁上套环会导致“丁丁嵌顿”,造成丁丁持续性的充血、水肿。刚开始只是排尿困难,时间长了就会导致丁丁缺血坏死。如果处理方法不当,还有可能加重症状和并发症。
遇到以上的三种情况,“一时玩过火”请及时前往医院求助,千万千万不要自己处理!!!
最后
看过世间千奇百怪,希望男性们都能选择健康。
丁丁和菊花没有你想象的那么顽强,甚至可以说是脆弱;
不要为了一时的好奇与刺激,做了危及生命的傻事。
No zuo,no die,why you try?
另外,年纪较小的孩子正处于对身体的探索期,这时候应当给予健康、正确的性教育,以免他们因为好奇心酿成悲剧。